Alpinion E-CUBE 8 – najczęściej wybierany do badań naczyniowych
- 7 listopada 2019
- Aktualności
- Czas czytania: 1 minuta

Ultrasonograf Alpinion E-CUBE 8 to jeden z najczęściej wybieranych systemów do badań naczyniowych.
Potwierdziło to już bardzo wielu lekarzy, potwierdzają to także obrazy kliniczne uzyskane przez naszych inżynierów.
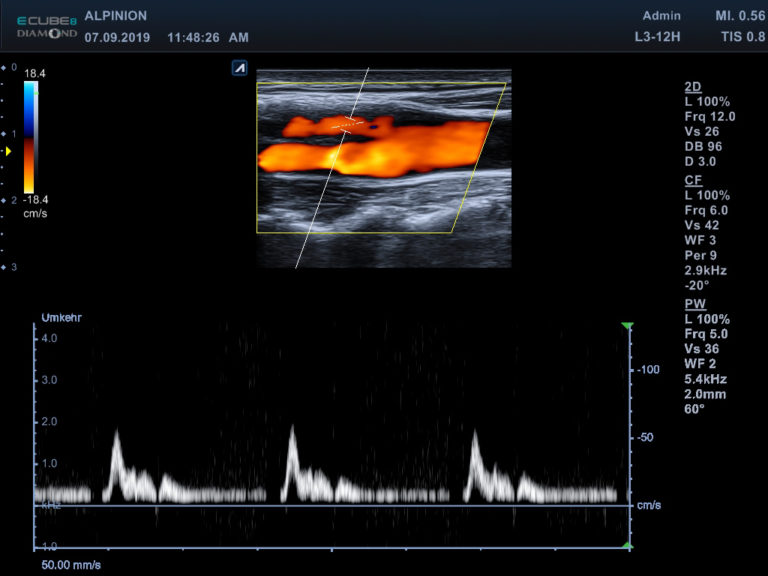
Wybrane obrazy kliniczne
Podziel się na social media:
Zobacz inne wpisy z tej kategorii
ALPINION E-CUBE 7 za 40 zł dziennie
Niespotykana oferta październikowaDla wszystkich, którzy chcieliby posiadać własny ultrasonograf marki Alpinion wspólnie z naszymi partnerami finansowymi przygotowaliśmy SPECJALNĄ OFERTĘ: Ultrasonograf ALPINION E-CUBE 7wyposażony w dwie głowice dwuwymiarowe, superszerokopasmowe, wieloczęstotliwościowe:convex SC1-6 Single Crystal. za 1199 zł miesięcznie bez wpłaty początkowej, a to jedynie…
25 rolek papieru DURICO przy zakupie usg ALPINION
Abyście mogli Państwo BEZ OGRANICZEŃ dokumentować swoje badania wykonane na ultrasonografach firmy Alpinion Medical Systems, do każdego ultrasonografu firmy Alpinion, zamówionego do 25 sierpnia, dodamy pakiet 25 rolek papieru HIGH GLOSSY firmy DURICO. Zapraszamy do kontaktu z naszymi przedstawicielami, którzy przedstawią szczegóły…
Unikalne głowice Single Crystal
Single Crystal to unikalna technologia produkcji kryształów sond ultrasonograficznych, która pozwala uzyskać niespotykaną dotąd jakość otrzymywanych obrazów. W głowicach Single Crystal tradycyjna ceramika PZT została zastąpiona uporządkowaną strukturą monokrystaliczną. Alpinion stosuje technologię Sinlge Crystal we wszystkich swoich ultrasonografach i jest…














